西安市人民醫院近期成功完成一例肝臟妊娠手術,“醫學界”專訪醫療團隊,還原這起極罕見病例的診療過程。
撰文 | 郭雪梅
6公分的胎兒長在了肝臟內,西安市人民醫院(西安市第四醫院)婦產醫院院長陳必良也是第一次見到這樣的病例。
異位妊娠作為婦產科常見的急腹癥,不少醫生都曾遇到過。陳必良介紹,過去臨床上更常見的異位妊娠類型是輸卵管妊娠,占比超95%,相比之下,受精卵“跑偏”到肝臟上著床發育的情況極為罕見。
因此在確診前,患者王女士(化名)的診斷之路頗為曲折,檢查顯示她雖已懷孕,但在子宮及輸卵管內卻始終沒有找到孕囊……面對這起罕見病例,陳必良院長向“醫學界”還原了診療過程。

陳必良院長團隊聯合肝膽外科等專家為患者手術/本文圖片皆來源于西安市人民醫院
嬰兒孕在肝臟上,11周了
王女士是在幾個月前發現了身體的異常之處。
陳必良告訴“醫學界”,王女士今年40歲,已停經超過50天,來到醫院檢查前曾出現惡心、嘔吐等癥狀。此前,她曾自然分娩過一孩,2018年因左側輸卵管妊娠接受手術,切除了左側輸卵管。
察覺身體異常后,王女士于今年11月14日來到當地縣婦幼保健院問診。抽血檢查顯示她已經懷孕,但超聲卻提示子宮及輸卵管內尚未檢查出孕囊,僅提示右側附件區存在包塊。當時,接診醫生懷疑其為輸卵管妊娠。
鑒于王女士的人絨毛膜促性腺激素(HCG)值異常升高,達到了90000mIU/ml,且宮外孕跡象不明,當地醫院建議住院觀察。出于對病情的擔憂,她當晚近11點通過轉診來到了西安市人民醫院。
陳必良介紹,當天的值班醫生詳細詢問病史后發現,患者除了HCG值偏高、附件有包塊外,既沒有腹痛等不適癥狀,腹腔內也無出血跡象,但B超檢查始終無法定位子宮外的妊娠囊,診療陷入了困境。
醫院決定先將患者收住院,次日進行更全面的檢查。后經過超聲醫學部醫生關三麗的細致探查,最終在王女士肝臟處發現了胎兒,此時胎盤雛形已形成,測量的頂臀徑約3.6cm,估算其孕周近11周,且胎兒已經出現心跳,初步診斷為肝臟妊娠。

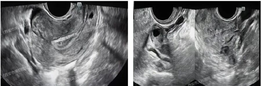
左圖腔內超聲顯示宮腔內未見孕囊
右圖顯示右側卵巢小囊腫
肝臟妊娠是腹腔妊娠的一種特殊形式,指受精卵在子宮體腔以外的肝臟表面或肝實質內著床,發育,在臨床上極為罕見。
根據著床位置不同,肝臟妊娠可分為原發性(受精卵直接種植于肝臟)和繼發性(如輸卵管妊娠破裂后,胚胎移行至肝臟)兩類。前者相比后者更少見,有數據顯示,原發性肝臟妊娠發病率約為子宮妊娠的1:15000,目前可查的全球文獻報道不超過50例。
陳必良介紹,診斷原發性肝臟妊娠必須滿足四個條件:兩側輸卵管和卵巢沒有妊娠;沒有子宮腹膜瘺形成;妊娠位于肝臟內;排除輸卵管妊娠轉移可能。經過檢查,王女士符合這四個條件,因此最終被診斷為原發性肝臟妊娠。
為進一步明確胎兒在肝臟內的具體位置及與周圍組織的毗鄰關系,陳必良后續為王女士預約了核磁共振檢查,并特意囑咐不要服用瀉藥。“因為腸道蠕動可能會刺激妊娠囊,引發破裂出血等致命風險。”
經過核磁共振檢查,陳必良發現胎兒位于肝臟S6段,即肝臟右側最后方的區域。
多科室協作,切除肝臟胎兒
明確診斷為肝臟妊娠后,陳必良第一時間聯系了肝臟外科的專家共同會診。
不同于常見的輸卵管妊娠手術,肝臟妊娠的治療涉及肝臟相關的操作,遠超婦產科醫生的執業范疇,必須依靠肝臟外科的專業技術支持。
陳必良告訴“醫學界”,肝臟妊娠通常有保守治療、手術治療兩種手段。對于常見的宮外孕,保守治療多采用甲氨蝶呤等藥物來殺死胚胎組織,但這一方案在肝臟妊娠病例中效果有限。
他進一步解釋,由于肝臟組織脆弱,保守治療周期長,而該患者的胚胎已經發育成型,胎兒大小遠超停經孕周,保守治療不僅難以奏效,還可能因藥物刺激或胚胎生長導致妊娠囊破裂,引發大出血。
手術是最佳方式。起初,團隊考慮先切開肝臟,取出胚胎后再止血,但醫院肝臟外科專家認為,這種方式可能會損傷肝臟內豐富的血管,導致術中大出血。
于是,團隊通過進一步分析發現,胚胎位于肝臟S6段,正好處于肝臟的最末端,直接切除該段肝臟組織,創傷更小,術后恢復也更快。最終,團隊確定為王女士施行肝部分切除術。
由于肝臟妊娠手術的特殊性,其難度遠超普通的宮外孕手術和常規肝臟手術。陳必良指出,首要難點在于肝臟的游離暴露,由于肝臟S6段位置較深,需要手術團隊的精細操作將肝臟游離,才能充分暴露手術區域。
“更關鍵的是,肝臟是人體血供最豐富的器官之一,妊娠囊在肝臟內著床發育,周圍已形成豐富的血管網,手術過程中一旦妊娠囊破裂,出血量會呈幾何級增長。”陳必良介紹,這種情況下,患者可能在短時間內陷入失血性休克,危及生命。
為應對這一風險,手術團隊提前做好了全面的預案,聯合手術室、麻醉科、輸血科等多科室協作,確保手術過程中麻醉監護到位,血源供應充足,為手術安全提供了堅實保障。
陳必良還介紹,在手術方式的選擇上,團隊查閱了大量文獻資料。據了解,目前國內外報道的肝臟妊娠手術中,絕大部分采用開腹手術,僅有少數病例通過腹腔鏡完成。
“雖然腹腔鏡手術創傷小,但對于妊娠囊位置較深的病例,操作難度極大,術中破裂風險高。綜合考量后,我們最終選擇了右上腹L型切口的開腹手術。”
最終,經過2個多小時,團隊成功完成手術,術中測量顯示,胎兒大小接近6公分。陳必良告訴“醫學界”,目前患者術后恢復情況良好,已經順利出院,復查結果顯示,其HCG值已接近正常水平,身體各項指標均無異常。
肝臟妊娠更常見了?
早發現是救治關鍵
“如今想起來,會有點后怕。”回憶起當時的手術場景,陳必良仍心有余悸。他表示,倘若患者的情況突然惡化,一旦錯過關鍵的救治時間段,隨時都有生命危險。
“醫學界”了解到,王女士也是西安市人民醫院建院以來接診的首例肝臟妊娠病例。在少見的異位妊娠病例中,該院僅在六七年前接診過一例脾臟妊娠病例。
陳必良介紹,肝臟妊娠的診斷難點在于其罕見性。無論是超聲科醫生還是婦產科臨床醫生,日常診療中接觸最多的是輸卵管妊娠,極少會聯想到妊娠囊會在肝臟上。
此外,臨床檢查時,附件區域的包塊很容易誤導醫生,將注意力集中在輸卵管、卵巢等常見部位,從而忽略了對腹腔其他臟器的探查。
“超聲醫生的經驗和水平是診斷的關鍵。”陳必良強調,超聲檢查是定位妊娠囊位置的核心手段,但超聲醫生不能只關注影像資料,更要像臨床醫生一樣,結合患者病史、HCG值等輔助檢查結果綜合判斷。
“以這例患者為例,HCG值高達90000mIU/ml,通常只有正常宮內妊娠才會出現如此高的數值,當找不到與之匹配的胚胎或胎兒時,就必須擴大探查范圍,而非局限于盆腔局部區域。”
陳必良特別提醒,肝臟妊娠的早期發現是救治成功的關鍵。目前,臨床上大部分肝臟妊娠病例,都是在妊娠囊破裂引發急腹癥后才被發現,而肝臟妊娠破裂的死亡率,比普通輸卵管妊娠破裂高7倍以上,十分兇險。
“王女士非常幸運,她只有正常的懷孕反應,沒有出現孕囊破裂的表現,這讓我們能夠及時進行檢查,否則后果不堪設想。”他說。
近年來,國內有文獻指出,我國異位妊娠發病率在增加,肝臟妊娠等少見部位妊娠也呈現上升趨勢。陳必良也發現,在臨床上確實有這樣的趨勢。
他解釋,這可能與多種因素有關:一是輸卵管不通、盆腔炎癥影響受精卵的正常運行,這是導致異位妊娠的主要原因;二是避孕方式的影響,口服避孕藥、放置避孕環等可能會干擾輸卵管的蠕動功能,增加受精卵著床異常的風險。
他還提到,如今試管嬰兒技術的廣泛應用,也可能增加異位妊娠的風險。“這是因為試管嬰兒過程中可能會移植多個受精卵。若宮腔存在炎癥,受精卵可能會進入腹腔,引發腹腔臟器妊娠,包括肝臟、脾臟等部位。”
因此,陳必良建議育齡期女性若出現停經、腹痛、陰道出血等癥狀,應及時就醫檢查,尤其是有異位妊娠病史、盆腔炎癥病史的女性,更要提高警惕,做到早發現、早診斷、早治療,降低異位妊娠帶來的健康風險。

